Assalamualaikum semuanya..
Berhubung kehamilan anak ketiga kemarin bunda mengalami keguguran karena pendarahan tiada henti padahal sudah bedrest...yuk kita cari infonya ...soalnya kemarin bunda di diagnosis BO alias BLIGHTED OVUM ...belum sempet di USG DALAM tapi karena bedrest dan udah dikasih obat anti pendarahan dan obat penguat kandugan masih aja terus2 berdarah dan bunda makin lemes jadilah diambil tindakan kuret...
Yuk kita cek infonya:
Berhubung kehamilan anak ketiga kemarin bunda mengalami keguguran karena pendarahan tiada henti padahal sudah bedrest...yuk kita cari infonya ...soalnya kemarin bunda di diagnosis BO alias BLIGHTED OVUM ...belum sempet di USG DALAM tapi karena bedrest dan udah dikasih obat anti pendarahan dan obat penguat kandugan masih aja terus2 berdarah dan bunda makin lemes jadilah diambil tindakan kuret...
Yuk kita cek infonya:
Blighted ovum juga dikenal sebagai kehamilan tanpa embrio. Pada saat terjadi pembuahan, sel-sel tetap membentuk kantung ketuban, plasenta, namun telur yang telah dibuahi (konsepsi) tidak berkembang menjadi sebuah embrio. Pada kondisi blighted ovum kantung kehamilan akan terus berkembang, layaknya kehamilan biasa, namun sel telur yang telah dibuahi gagal untuk berkembang secara sempurna. Maka pada ibu hamil yang mengalami blighted ovum, akan merasakan bahwa kehamilan yang dijalaninya biasa-biasa saja, seperti tidak terjadi sesuatu, karena memang kantung kehamilan berkembang seperti biasa. Pada saat awal kehamilan, produksi hormon HCG tetap meningkat, ibu hamil ketika di tes positif, juga mengalami gejala seperti kehamilan normal lainnya, mual muntah, pusing-pusing, sembelit dan tanda-tanda awal kehamilan lainnya. Namun ketika menginjak usia kehamilan 6-8 minggu, ketika ibu hamil penderita blighted ovum memeriksakan kehamilan ke dokter dan melakukan pemeriksaan USG, maka akan terdeteksi bahwa terdapat kondisi kantung kehamilan berisi embrio yang tidak berkembang. Jadi, gejala blighted ovum dapat terdeteksi melalui pemeriksaan USG atau hingga adanya perdarahan layaknya mengalami gejala keguguran mengancam (abortus iminens) karena tubuh berusaha mengeluarkan konsepsi yang tidak normal.
Blighted ovum atau kehamilan kosong ini, kadang di sebagian masyarakat ada yang menghubungkannya dengan hal-hal mistik. Ada yang mengatakan kehamilannya hilang di bawa oleh makhlus atau bayinya dipindahkan ke orang lain, dll. Karena memang kesannya bayinya menghilang, padahal ibu hamil yang mengalami blighted ovum mengalami tanda-tanda dan perubahan-perubahan tubuh layaknya kehamilan normal, namun ketika di cek USG janinnya tidak ada/tidak berkembang. Namun tentunya semua hal mistik itu itu tidak benar adanya.
Blighted ovum terjadi pada saat awal-awal kehamilan. Penyebab dari blighted ovum sampai saat ini belum diketahui secara pasti, namun di duga karena adanya kelainan kromosom, kelainan genetik, atau sel telur dengan kondisi kurang baik di buahi oleh sperma normal atau sebaliknya. Sayangnya Blighted ovum tidak bisa di cegah atau dihindari. Untuk penanganan kehamilan blighted ovum tiada jalan lain kecuali mengeluarkan hasil konsepsi dari dalam rahim. Caranya bisa dilakukan dengan kuretase atau dengan menggunakan obat. Namun kuretase dianggap memiliki kelebihan karena dapat mencegah terjadinya infeksi dan juga pemeriksaan kromosom.
Blighted ovum tidak berpegaruh terhadap rahim ibu atau terhadap masalah kesuburan. Seseorang yang pernah mengalami blighted ovum dapat kembali hamil normal. Namun jika ibu mengalami blighted ovum berulang, baiknya dilakukan pemeriksaan dan pengobatan yang intensif, karena dikhawatirkan adanya kelainan kromosom yang menetap pada diri ibu atau suami. Dokter mungin menyarankan untuk dilakukan tes genetika atau juga dilakukannnya terapi selama 1-3 bulan sebelum mencoba hamil kembali, tergantung dari kondisi hasil pemeriksaan dokter.
Sumber : Mengenal Kehamilan Kosong atau Blighted Ovum (BO) - Bidanku.com http://bidanku.com/mengenal-kehamilan-kosong-atau-blighted-ovum-bo#ixzz4LZNSt9E0
Penyebab Kehamilan Kosong
Blighted Ovum disebabkan oleh sel telur yang telah dibuahi sperma tidak dapat berkembang dengan sempurna, yang ada hanyalah plasenta dengan cairan yang ada di dalamnya. Plasenta di dalam rahim akan menghasilkan hormon HCG (Human Chorionic Gonadotropin) atau yang juga dikenal sebagai hormon kehamilan. Tugas Hormon HCG adalah memberikan sinyal kehamilan kepada otak dan ovarium untuk menginformasikan bahwa di dalam rahim ada sang janin. Hormon inilah yang akan menimbulkan berbagai gejala kehamilan seperti mual, muntah dan sebagainya. Hormon ini juga yang menyebabkan test pack atau hasil tes laboratorium menyatakan positif. Mengapa? karena pada umumnya test pack maupun tes laboratorium bekerja dengan cara mengukur kadar hormon HCG di dalam tubuh.
Banyak faktor yang menyebabkan sel telur tidak berkembang sempurna, diantaranya seperti:
- Kelainan kromosom saat proses pembuahan.
- Kualitas Sperma dan ovum yang kurang baik. Hal ini bisa disebabkan karena usia pasangan yang semakin tua.
- Infeksi Torch atau infeksi yang disebabkan oleh toksoplasma, rubela, cytomegalovirus (CMV) dan herpes simplex Virus (HSV), yaitu infeksi yang ditularkan wanita hamil kepada janin di dalam kandungannya.
- Adanya penyakit lain yang tidak terkontrol, seperti Kencing manis dan yang lainnya.
- Kadar beta HCG yang rendah.
- Adanya antibodi pada janin
Tindakan Penanganan
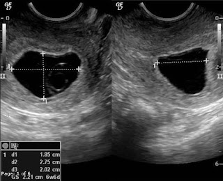
Blighted Ovum hanya dapat dideteksi dengan pemeriksaan USG transvaginal. Sayangnya, agar gambar objek (janin) terlihat lebih jelas, USG transvaginal ini hanya dapat dilakukan saat kantung kehamilan sudah besar, yaitu dengan diameter diatas 16 milimiter atau saat usia kandungan menginjak 6-7 minggu.
Tindakan yang harus dilakukan untuk kasus blighted ovum adalah dengan kuretase, yaitu mengeluarkan hasil pembuahan dari dalam rahim. Nantinya penyebab blighted ovum ini akan diketahui dari hasil pemeriksaan kuretase. Hal ini bertujuan agar kejadian yang sama tidak terulang lagi pada kehamilan berikutnya.
Tindakan Pencegahan
Selain menjalankan pola hidup sehat, berikut adalah beberapa tindakan pencegahan terhadap Blighted Ovum:
- Pemeriksaan Torch
- Imunisasi rubella
- Melakukanpengobatan terlebih dahulu terhadap penyakit yang sedang diderita.
- Melakukan kontrol gula darah
- Menghentikan kebiasaan merokok.
- Melakukan pemeriksaan kehamilan secara rutin.
- Melakukan pemeriksaan kromosom. Tindakan ini sangat dianjurkan terutama bila usia calon ibu di atas 35 tahun.

Menarik infonya bun... istri sy juga pernah mengalami yang mirip seperti yg bunda alami cuma tidak mengalami pendarahan. Jadi di tespeck positif, di usg jg ada lingkaran hitam tapi menurut dokter tidak ada isinya padahal usia sudah 5 minggu. Dikasih vitamin sambil nunggu 2 minggu kalau tidak ada perkembangan akan dikiret, tetapi seminggu sesudah itu katanya keluar sendiri pas perut terasa mulas. Besarnya se kelereng lebih dikit dan langsung di usg lagi ternyata emang udah ga ada di rahim alias udah bersih akhirnya ga jadi dikiret deh. Oya silahkan mampir di http://ayahbundabelokkiri.blogspot.co.id ada permainan gratis buat asah otak si buah hati, semoga bermanfaat
BalasHapus